2024年10月是我国第15个敬老月,全国“敬老月”活动主题为“坚持以老年人为中心,构建老年友好型社会。”口腔健康是老年人全身健康的重要关口。俗话常讲“病从口入”,老年人应该建立良好的自我口腔健康习惯,关注自己的口腔问题,早发现、早治疗,可以让老年人更好地享受晚年生活。今天的话题我们就来聊聊老年人该如何维护口腔健康呢?
一、牙齿健在,及时干预牙病发展
由于老年人身体免疫力降低,各项机能逐渐下降,有的人没有认识到自身的口腔疾病,也有一部分人认为有牙能吃饭就行,所以延误了口腔疾病的治疗,因此老年的口腔疾病患病率较高,常见的口腔疾病有牙齿敏感、牙颈部龋齿、牙龈萎缩、牙周病等。
1.牙齿敏感
随着年龄增长牙齿表面最坚硬的一层组织逐渐出现磨损,或者由于牙龈退缩导致原来被牙龈包裹的牙齿根面组织和末梢神经暴露,遇到冷热酸等刺激性食物时就会出现敏感症状,甚至遇冷都会感到疼痛。还有人因为牙齿行使了多年的咀嚼功能,后牙研磨食物的表面出现严重磨损,牙齿边缘形成锐利的边缘,进食时除了有敏感症状,还容易导致这颗牙齿劈裂,由于锐利的牙齿边缘与粘膜的摩擦还会损伤周围的软组织,如:舌头、颊黏膜,严重时可以形成创伤性软组织溃疡,甚至恶变。

2.颈部龋
颈部龋常见于老年人多发,由于牙龈萎缩、牙根暴露,牙根靠近牙龈边缘的组织非常容易磨损,导致形成龋齿。由于牙龈萎缩牙缝变大,食物容易嵌塞,造成菌斑堆积患上龋齿,如果不及时干预治疗,可能会导致牙神经暴露,牙齿折断等严重问题。一旦发展成牙髓炎会引发剧烈疼痛,还可能引起根尖周病等一系列并发症,甚至影响全身健康。

3.牙周病
许多老年人没有建立良好的自我口腔清洁和定期看牙医清洁口腔的习惯,随着年龄的增长唾液变得粘稠,不能及时冲刷口腔里存在的牙垢,加之全身抵抗力的下降导致牙周病的患病率远远高于年轻人。早期表现为牙龈出血、口腔异味,如果不及时干预会逐渐出现牙龈萎缩、牙槽骨吸收、牙根暴露、牙齿松动甚至脱落等问题。
每年1-2次前往医院做口腔清洁,可以及时发现口腔问题、预防口腔疾病的发展。

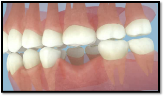
二、牙齿缺失要及时修复
牙齿缺失后除了会影响美观,还会导致两侧的牙齿和对合的牙齿移位,加速这些牙齿根部的牙槽骨萎缩、松动、脱落。同时,牙齿缺失后还会导致咀嚼功能的退化,给肠胃增加过重的负担,加大肠胃疾病发生的风险。今年研究还发现多数牙缺失后还会导致老年痴呆,所以建议老年定期到口腔医院做口腔检查,出现缺失牙一定要早日就医、及时修复。

三、口腔健康需要科学的日常维护
养成良好的口腔卫生习惯是保证牙齿健康的重要条件之一,养成每天早晚至彻底刷牙的习惯,每次刷满3分钟,刷到牙齿的每一个面,选择适合自己的牙膏,如:龋齿多发可以使用含氟牙膏增加牙齿的再矿化能力,牙周疾病可以选择具有一定抗炎作用的牙膏,预防菌斑和牙石的形成。同时养成饭后漱口、经常使用牙线、冲牙器等辅助工具清洁牙与牙之间的缝隙,减少口腔中细菌和食物残渣的滞留时间。

掌握正确的刷牙方法非常重要,如果每天大力横刷牙齿会对牙齿造成长期的机械刺激和磨损,导致牙颈部的组织缺损和牙周软组织的损伤。建议老年人使用水平颤动拂刷法,有效清洁食物残渣和牙菌斑,保护牙齿和牙周组织。
认真、定期刷牙可以清除大多数牙齿表面的食物残渣和牙菌斑,但是藏在牙齿缝隙里的污垢很难被清除干净,刷牙不能代替定期到医院请医生做一次牙齿彻底“大扫除”洗牙,建议老年朋友每半年到1年去正规的口腔医疗机构做彻底的口腔清洁,全面维护口腔健康,从而保证全身健康。

兴业口腔医疗团队10月持续开展口腔健康进社区公益行活动,我们已经在7个社区开展科普讲座、口腔检查、刷牙指导等多种口腔科普活动,帮助了上百名社区老年人掌握科学的护齿知识,改善口腔卫生习惯。兴业口腔未来会继续秉承“至亲之想 精勤不倦”服务的理念,举全院之力为患者提供就医安全、看牙放心、安心、省心和顺心的就医环境,终生维护老年患者口腔健康!
